Dor de Cabeça causada por Bruxismo: Tratamento é Multidisciplinar

As dores de cabeça associadas ao bruxismo são mais frequentes do que se pode imaginar. Saiba como o bruxismo pode estar por trás da cefaléia, como é o seu tratamento, como diferenciá-lo da disfunção temporo-mandibular (ATM) e como prevenir o seu aparecimento.

Bruxismo, uma disfunção dos tempos modernos

Poucos problemas de saúde são tão prevalentes quanto o bruxismo. Para ter ideia, estima-se que aproximadamente 75% da população brasileira tenha algum sinal ou sintoma de manifestação dele. É muita gente sofrendo por um problema tão pouco divulgado – e até mesmo estudado.

Para quem não sabe, o bruxismo é um reflexo neuromuscular involuntário de apertar e ranger os dentes. Com elevado fator genético, ele aparece mesmo em indivíduos que possuam seus dentes corretamente alinhados. Ele surge sozinho mesmo, e com maior prevalência durante o sono (bruxismo noturno).

Um fato curioso sobre o bruxismo é que ele é considerado um dos distúrbio comportamental moderno, já que está bastante associado à ansiedade e ao estresse emocional. Não à toa, nos grandes centros urbanos ele é muito mais prevalente comparado às pequenas cidades, aonde a vida sofre menos os impactos do dia-a-dia corrido.

Diagnóstico: desgastes nos dentes nem sempre estão presentes

O diagnóstico do bruxismo é realizado no consultório do dentista e não requer exames radiográficos. Os sinais e sintomas mais comuns do distúrbio são os desgastes nos dentes, a dificuldade para abrir a boca ao acordar, as dores nos músculos da face e também as dores na cabeça e pescoço.

A avaliação odontológica completa é importante para descartar possíveis problemas dentais, como cáries, má oclusão e periodontite, já que os sintomas destas duas condições costumam ser parecidos com as dores causadas pelo bruxismo.

Infecções provocadas por cáries dentárias profundas, por exemplo, podem causar dores difusas e tão intensas que até os músculos do pescoço são afetados. Nestes casos, exames radiográficos são essenciais ao diagnóstico diferencial entre a cárie e a cefaléia por outras causas.

Em muitos casos, exames neurológicos, supervisionados por médicos neurologistas, são necessários para descartar outras causas subjacentes, como tumores.

O diagnóstico da dor de cabeça por bruxismo é complexo. Desgastes no dentes, ainda que severos, são insuficientes para diagnósticos conclusivos. É o caso do bruxismo cêntrico, que manifesta-se apenas pelo apertamento dos dentes, sem ranger.

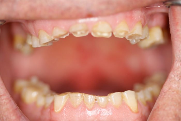
Bruxismo severo: desgastes dentários severos em paciente não protegido por placa.

A dor de cabeça associada ao bruxismo

Não está bem clara a forma como o bruxismo pode causar ou intensificar as dores na cabeça. Os trabalhos científicos sobre o assunto são muitos – porém pouco conclusivos.

Por ora, o que podemos observar, é uma elevada incidência de dores de cabeça entre os indivíduos com bruxismo, e também uma redução significativa dos sintomas quando tratados com placa de bruxismo e fisioterapia combinada.

Estudos mostram que portadores do bruxismo tem até 2X mais chances de desenvolver cefaléias primárias, que é a dor de cabeça em si, sem causas secundárias.

Ansiedade, bruxismo e cefaléia

O bruxismo é um distúrbio essencialmente genético e reflexo. Entretanto, existem alguns fatores não centrais, como a ansiedade e o estresse, que iniciam ou intensificam os ciclos de apertamento e ranger dos dentes e aumentam a potência dos músculos envolvidos – o que só aumenta os riscos para desgastes e fraturas dos dentes.

A ansiedade é mais prevalente nos portadores do bruxismo comparada àqueles que não o possuem. E quando o bruxismo é acompanhado por dores na cabeça, a ansiedade é ainda mais prevalente – 62% dos indivíduos com cefaléia e bruxismo relatam histórico de ansiedade e estresse prolongados.

Dor na cabeça e pescoço associado ao bruxismo. Regiões mais afetadas.

Fique atento: bruxismo e disfunção na ATM são coisa diferentes

O bruxismo é frequentemente confundido com a disfunção na articulação temporo-mandibular (ATM). Esta articulação, que é dupla e localiza-se lateralmente à cabeça (próxima aos ouvidos), é responsável pelos movimentos de abertura, fechamento e lateralidade da mandíbula.

Tanto o bruxismo quanto a disfunção na ATM podem provocar sinais e sintomas como dores na face, cabeça e pescoço, e limitação para abertura da boca.

Outra confusão é quanto à possibilidade da disfunção da ATM ser causada pelo bruxismo. Até o momento, não existem pesquisas científicas conclusivas sobre este relação de causa e efeito. E para piorar ainda mais, é possível que indivíduos sejam portadores das duas condições deletérias, sem que elas possuam relação entre si.

ATM: músculos, ligamentos, nervos e cápsula articular podem estar por trás das dores na cabeça.

Tratamento é multidisciplinar

O tratamento da dor de cabeça causada pelo bruxismo quase sempre exige uma abordagem multidisciplinar, que envolve, além do dentista, fisioterapeutas, psicólogos e até neurologistas.

Ao dentista, o tratamento indicado é o uso diário, por tempo indeterminado, de placas para bruxismo, que ajudam a relaxar os músculos e também a evitar desgastes e fraturas nos dentes.

Além disso, ele também pode indicar dietas macias e aplicação de compressas umedecidas e mornas sobre os músculos da cabeça e do pescoço para os períodos mais intenso do distúrbio, que podem perdurar por vários dias.

A fisioterapia pode ajudar por meio de técnicas de massagem e alongamento dos músculos da face e do pescoço. Já o psicólogo pode ser necessário no tratamento da ansiedade e do estresse emocional que costumam intensificam o distúrbio.

A placa para bruxismo no tratamento da dor de cabeça

A placa para bruxismo é um dispositivo encaixado a uma das arcadas do paciente e serve evitar o contato entre os dentes.

A indicação da placa para mordida ou placa miorrelaxante, como também é chamada, é devida a sua elevada capacidade para eliminar, quando utilizada, e reduzir, quando não utilizada, os reflexos neuromusculares de apertamento dos dentes – o que ajuda a proteger tanto os dentes quanto os músculos mastigatórios.

No tratamento da dor de cabeça causada pelo bruxismo, a placa para bruxismo é ainda mais indicada. Entre os seus benefícios estão a proteção dos músculos mastigatórios e faciais contra contraturas, a proteção das diminutas estruturas da articulação temporomandibular e também a descompressão temporal (cabeça) causada pela hipertrofia dos músculos ali presentes.

Basicamente, a placa para bruxismo pode ser feita com 3 tipos diferentes de materiais. Acrílica (dura), que é a mais indicada devido ao seu potencial mais elevado no tratamento a longo do prazo do bruxismo, e as placas do tipo semi-rígida e flexível, que são indicadas no tratamento da dor de cabeça no curto prazo do bruxismo e da disfunção da ATM.

A placa para bruxismo é feita pelo dentista, no consultório, após a moldagem das arcadas dentárias. São necessárias duas consultas, e o tempo médio para ela ficar pronta varia entre 2 a 5 dias. Após instaladas, são necessárias entre uma a duas consultas para revisar a adaptabilidade do paciente à placa para mordida, e também os seus resultados na remissão da dor de cabeça.

Medicações

Para controlar o bruxismo e prevenir a dor de cabeça associada, o uso temporário de medicações pode ser necessário.

Os medicamentos mais utilizados são os relaxantes musculares, utilizados em conjunto com compressas quentes para potencializar o seu efeito, os analgésicos simples, indicados nos períodos de surto do bruxismo, e os antiinflamatórios, de uso eventual nos casos mais intensos de dores e limitação de abertura da boca.

Terapia comportamental e eliminação de hábitos parafuncionais

Placa para bruxismo, dietas macias, medicamentos e fisioterapia nem sempre são suficientes para tratar a dor de cabeça associada ao bruxismo. Em muitos casos, o acompanhamento de um terapeuta é indicado para os casos de bruxismo intensificados pelo estresse e a a ansiedade.

Os hábitos parafuncionais são fatores intensificadores do bruxismo. Roer unhas e gomas de mascar são exemplos de atividades musculares não funcionais, que aumentam a potência dos músculos mastigatórios e intensificam a frequência dos ciclos de ranger e apertar dos dentes.

Assim como a terapia comportamental, a identificação e eliminação dos hábitos parafuncionais são importantes no tratamento da dor de cabeça associada ao bruxismo. Em muitos desses caos, a terapia comportamental também pode ajudar no bloqueio das atividades parafuncionais.

Prevenção da cefaléia causada por bruxismo e DTAM

As cefaléias podem aparecer por várias causas, e uma delas possivelmente é o bruxismo.

As dores de cabeça frequentes e não tratadas afetam a qualidade de vida dos indivíduos acometidos e podem, quando não tratadas, evoluir para enxaquecas crônicas ou até mesmo quadros de depressão emocional.

A prevenção da dor de cabeça de crônica pode ser multidisciplinar. Além das consultas regulares ao dentista para acompanhar a evolução do tratamento com a placa para mordida, a fisioterapia também pode ser necessária na prevenção da cefaléia.

Além disso, adotar hábitos saudáveis, como praticar atividades físicas, ter uma alimentação equilibrada e evitar o consumo de álcool e tabaco também são importantes. Já a redução do estresse e da ansiedade podem exigir técnicas de relaxamento, como a yoga.

O mais importante mesmo é saber que o tratamento da dor de cabeça associada ao bruxismo existe, é eficaz e quase sempre só requer o uso e acompanhamento de placas para mordida e adoção de hábitos saudáveis.

Obrigado por consumir nosso conteúdo!

Se você gostou desse tema, compartilhe com seus colegas de profissão.

Queremos ouvir você! Quais temas você deseja ler aqui no blog Laboratório GR?